Espace pédagogique

Mutuelle complémentaire santé obligatoire : toutes et tous concernés !

La campagne d’affiliation débute au mois de décembre.

Retrouvez toutes les informations ici 

utiliser un logiciel de capture d'écran

Des petits logiciels permettent de faire simplement des captures d'écran. Mis à la disposition des élèves, ils peuvent ainsi faire une analyse plus précise de documents vidéos. Un exemple d'application avec un travail à partir d'un film présentant la mitose.

Quelques logiciels de capture d'écran

 
La touche "imprecran" permet de faire une capture de l'ensemble du bureau affiché. L'intérêt des logiciels présentés ci-dessous est de permettre de sélectionner une partie de l'écran.
 
Capturino
Capturino est un logiciel libre disponible à l'adresse suivante: http://capturino.free.fr/.
Une fois le logiciel installé, on peut le lancer avec le menu Démarrer de Windows.


Un premier écran d'accueil s'affiche, il faut cliquer alors en haut et à droite pour que le logiciel soit actif.





Un bandeau s'affiche alors en haut et à droite de la fenêtre active.





Plusieurs fonctions sont disponibles :
Permet de capturer une partie de la fenêtre: sélection par cliquer-glisser.
Capture la fenêtre active en entier.
Permet de revenir à la fenêtre active pour refaire une capture
Enregistre la capture (image au format jpg par défaut)
Enregistre l'ensemble des captures d'écran réalisées dans un dossier. Par défaut "Mes documents".
Permet d'ouvrir la capture effecutée dans paint (par défaut) pour y faire une retouche simple (annotations par exemple). Le logiciel de traitement d'image peut-être modifié (Voir ci-dessous).

Permet de modifier les paramètres du logiciel, en particulier le logiciel de traitement d'images lancé par l'icone
. Il est possible par exemple de lancer le logiciel mesurim-pro à la place de paint (Voir ci-dessous).
   


 
CaptImag
 

Cet outil est téléchargeable à l'adresse suivante : http://captilude.free.fr/. Il présente l'avantage d'être léger.




Une fois installé il est disponible dans la barre des tâches. L'interface est simple voire rudimentaire mais il permet de faire des saisies très rapidement.




Les captures peuvent correspondre à l'ensemble de l'écran en appuyant sur la touche "impr" du clavier.
mais il est également possible de choisir une zone en cliquant sur "Sélection"( voir ci-contre). La sélection de la zone se fait par "cliquer-glisser".



Les images peuvent être enregistrées aux formats jpg, gif, png et bmp.
 
Outils de capture de Windows Vista
 

Le système d'exploitation Windows Vista intègre un outil de capture d'écran simple à utiliser. Il est disponible par le menu Démarrer de Windows puis Accessoires.


Une fois l'outil lancé, il suffit de sélectionner la zone de l'écran souhaitée par un cliquer-glisser.


L'intérêt de ce logiciel est de proposer des outils pour des annotations simples sur l'image : crayon avec différents choix de couleurs et surligenur.
 


Un exemple en classe de 1°S : repérer les différentes phases de la mitose à partir d'un film

 
 
La vidéo utilisée provient du site du CERIMES (http://www.cerimes.education.fr/) qui propose des vidéos libres de droit pour un usage en classe y compris pour une impression ce qui sera le cas pour ce travail.

Les vidéos sont au format real player. Il est possible sur demande de disposer de ces vidéos pour une utilisation hors connexion.

Dans cette activité, c'est le logiciel capturino qui a été utilisé.

Deux videos sont exploitables pour ce sujet :
Video 1
Video 2

 




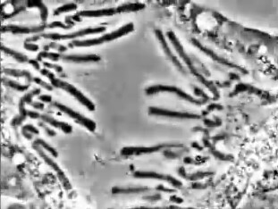
L'image saisie obtenue est la suivante:

 

Une fois l'image capturée, on peut envisager plusieurs activités:

 

  • Insérer l'image dans un document texte. Il n'est, dans ce cas, pas nécessaire d'enregister l'image obtenue. Un simple copier-coller vers le fichier texte permet l'insertion de l'image. On peut alors demander une description de chaque phase (image) capturée.

Prophase Métaphase
 
 
Anaphase Télophase
 
 

 
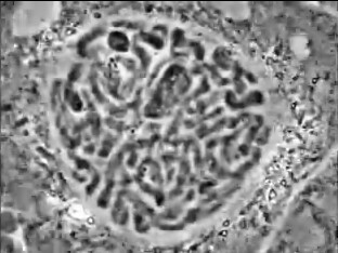
  • Faire un traitement de l'image en demandant de suivre le "devenir" d'un chromosome par exemple. Pour ce faire, on peut utiliser la touche
     de capturino qui ouvre l'image dans le logiciel de retouche choisi (voir ici).






Le traitement de l'image s'effectue ici avec mesurimpro.

On peut entourer un chromosome qui sera "suivi" au cours de la mitose.

 






Le même chromosome.

Ce marquage simple permettra à l'élève de mieux comprendre les étapes importantes qui se produisent au cours de la mitose.
 


Le chromosome étudié en début d'anaphase.


En cours d'anaphase.

Fin d'anaphase.
 

Remarques sur l'utilisation de la vidéo en classe



L'utilisation d'images ou de vidéos est régie par la loi sur les droits d'auteurs. Ceci concerne également ce qu'on peut trouver sur internet. Avant une utilisation en classe, il est donc nécessaire de vérifier les droits ou de demander une autorisation aux auteurs.

La vidéo utilisée dans cette ressource est libre de droit pour une utilisation en classe. Elle provient du site du CERIMES qui propose de nombreuses vidéos sur des sujets très variés.


Pour aller plus loin.... Créer une animation avec mesurim


Il est possible créer une animation à partir d'une série de photographies à l'aide du logiciel mesurim. Voir la ressource.

Information(s) pédagogique(s)

Niveau :
tous niveaux
Type pédagogique :
logiciel, didacticiel, tutoriel, travaux pratiques
Public visé :
enseignant, élève
Contexte d'usage :
classe, travail autonome, laboratoire, atelier, salle multimedia